I Overcame Bell S Palsy

I Overcame Bell S Palsy

Carnie Wilson Has Bell S Palsy Celebrity Diagnosis

Carnie Wilson Has Bell S Palsy Celebrity Diagnosis

What Is Bell S Palsy Connected To Migraines Living In Stigma

What Is Bell S Palsy Connected To Migraines Living In Stigma

Article I Have Bell S Palsy Read Here Http Theobamacrat Com

Article I Have Bell S Palsy Read Here Http Theobamacrat Com

Lyn Hacker Bell S Palsy Strikes Again And Is A Hard But Potent

Lyn Hacker Bell S Palsy Strikes Again And Is A Hard But Potent

Shingles Vaccine Side Effects Bell S Palsy Walton Telken

Shingles Vaccine Side Effects Bell S Palsy Walton Telken

Shingles Vaccine Side Effects Bell S Palsy Walton Telken

Hemifacial Spasm Disease Malacards Research Articles Drugs

Hemifacial Spasm Disease Malacards Research Articles Drugs

Ella Koon Diagnosed With Bell S Palsy Bells Palsy Entertainment

Ella Koon Diagnosed With Bell S Palsy Bells Palsy Entertainment

Chapter 6 Introduction To Neuro Ophthalmology With Images

Chapter 6 Introduction To Neuro Ophthalmology With Images

Old Indian Fieldhouse Lots Of Memories The Final Season There

Old Indian Fieldhouse Lots Of Memories The Final Season There

My Battle With Bell S Palsy Part 5 13 Tips And Takeaways For The

My Battle With Bell S Palsy Part 5 13 Tips And Takeaways For The

Func Of Both Ear Muscles Contract Dampen Effect Of Loud Sound

Func Of Both Ear Muscles Contract Dampen Effect Of Loud Sound

Surgery Induced Bells Palsy Before And After Bemer Therapy Pemf

Surgery Induced Bells Palsy Before And After Bemer Therapy Pemf

Rapid Hardware Accelerator Archives Nextfab

Rapid Hardware Accelerator Archives Nextfab

Welcome Matiash Com With Images Places To See Places To

Welcome Matiash Com With Images Places To See Places To

Https Www Centralmaine Com 2012 03 07 Cheese Lovers Get Their

Https Www Centralmaine Com 2012 03 07 Cheese Lovers Get Their

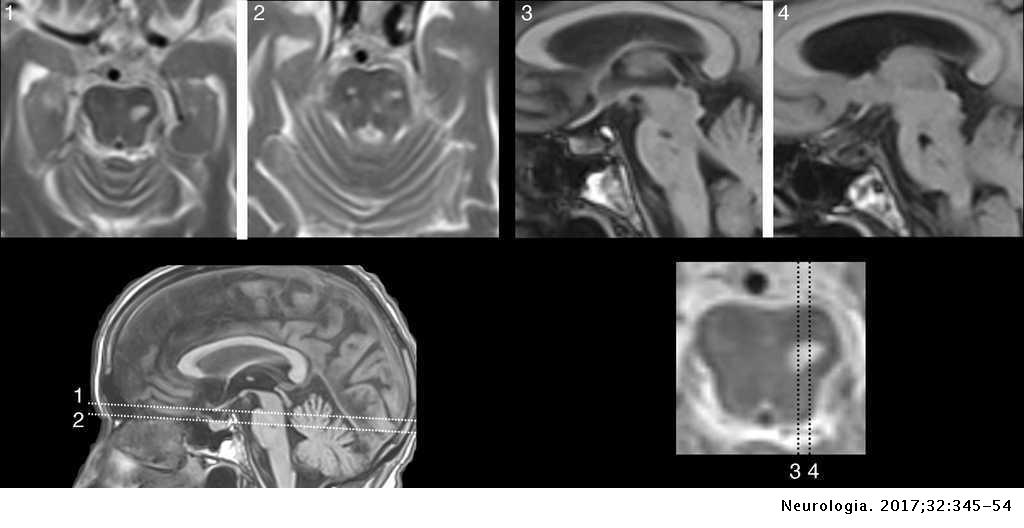
Auditory Hallucinations In Cognitive Neurology Neurologia

Auditory Hallucinations In Cognitive Neurology Neurologia

Soca River Map Slovenia Soca Map Of Slovenia Map

Soca River Map Slovenia Soca Map Of Slovenia Map

Pink Skull Bandana Harley Davidson Merchandise Harley Davidson

Pink Skull Bandana Harley Davidson Merchandise Harley Davidson

Zack Apparelaccessories Dog Diapers Dog Hoodie Dog Training

Zack Apparelaccessories Dog Diapers Dog Hoodie Dog Training

Source : pinterest.com